Estética dental en Medellín

Recupera la luz que merece tu sonrisa

Diseños de sonrisa sin desgaste dental, con resultados naturales y adaptados a cada persona, en una sola cita.

Amarás tu sonrisa

Tu sonrisa, nuestra especialidad

Creemos que una sonrisa bonita no debería ser un lujo. Por eso combinamos técnica de vanguardia con precios accesibles, para que cualquier persona pueda sentirse segura al sonreír.

Sin desgaste dental Respetamos tu estructura natural con técnicas adhesivas que no requieren limar tus dientes.
Todo en una sola cita Tu diseño completo en una única sesión, con técnica directa de última generación.
Valoración virtual Empieza desde casa: envíanos tus fotos por WhatsApp y te contamos tus opciones, sin compromiso.
Accesible para todos Estética dental de alta calidad con planes de pago adaptados a ti.

Servicios

Tres opciones para devolver la luz a tu sonrisa, todas con resultados naturales y armónicos:

Microdiseño de sonrisa

Microdiseño

Armoniza pequeños detalles en los bordes para lograr una sonrisa más limpia y natural.

  • Limpieza profunda
  • 8 bordes en resina
  • Placa protectora
Diseño de sonrisa en resina

Diseño de sonrisa en resina

Reluce tu sonrisa de forma natural y armónica, adaptada a ti, en un proceso eficiente y estético.

  • Limpieza profunda
  • 10 carillas en resina
  • Placa protectora
Diseño con técnica estratificada

Diseño con técnica estratificada

Técnica directa por capas para un resultado premium con profundidad y textura natural.

  • Limpieza profunda
  • 10 carillas en resina estratificada
  • Placa protectora

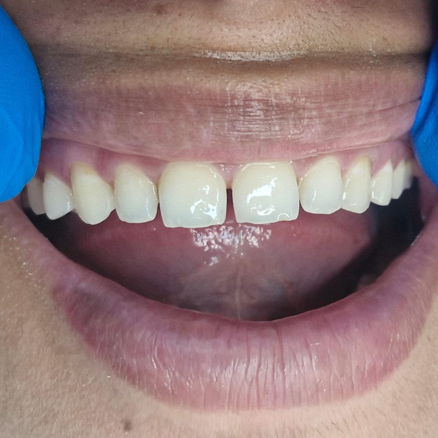
Diseños de sonrisa

Arrastra el deslizador en cada imagen para ver la transformación completa:

Después del tratamiento Antes del tratamiento
Después del tratamiento Antes del tratamiento
Después del tratamiento Antes del tratamiento
Después del tratamiento Antes del tratamiento

Agenda tu cita

Escríbenos por WhatsApp y te guiamos para realizar tu valoración virtual gratuita y agendar la cita que le devolverá la luz a tu sonrisa.

Ubicación Centro Comercial Obelisco, Cra. 74 #48-37, Consultorio 812 · Medellín
Horarios Lunes a viernes: 8:00 a.m. – 6:00 p.m.
Sábados: 9:00 a.m. – 1:00 p.m.